歯の抜けたところにチタン製の人工歯根を埋め込み、人工の歯を被せます。入れ歯のように金属製の留め具(バネ)がなく、ブリッジのように隣の歯を削る必要もないため、見た目が自然であるだけでなく、残っている歯に負担をかけません。また骨としっかり固定されているので、自分の歯のように噛むことができます。入れ歯にご不満のある方は、お気軽にご相談ください。
「10DR」とは、口腔内のCT画像を解析し、インプラント手術のシミュレーションを行うソフトです。
当院では「10DRインプラントシステム」を使用し、実際の手術の方法と手順を患者様にご説明いたします。
患者様のさまざまな不安や疑問を解消したうえで、常に安心・安全な方法をご提案できるよう心がけております。
www.10dr.co.jp
- まずレントゲンなどによる十分な診断を行い、治療の計画について説明をします。
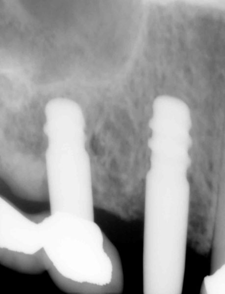
- 歯の抜けたところへインプラントを植え込んだあと、あごの骨にしっかり固定されるまで、3〜6ヶ月待ちます。
- インプラントによるしっかりした土台ができたら、人工の歯を上に取り付けます。
www.10dr.co.jp






















