見た目を美しくするだけでなく、歯並びが良くなることによってむし歯や歯周病を予防することができます。また良く噛めるようになり、胃腸に対する負担を軽減します。「おかしい」と感じた時が治療の時期です。様子を見ていても何も変わりません。矯正装置をつけている期間は長い人生からすればわずかな期間です。思い切って矯正を始めてみませんか?
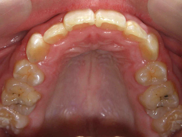
上の前歯が下の前歯より極端に前に出ている噛み合わせの状態を上顎前突(出っ歯)と言います。
上顎前突の噛み合わせでは上あごの前歯が下あごの前歯と噛み合いません。
幼児期の指しゃぶりが原因になることもあります。
上顎前突の噛み合わせでは上あごの前歯が下あごの前歯と噛み合いません。
幼児期の指しゃぶりが原因になることもあります。
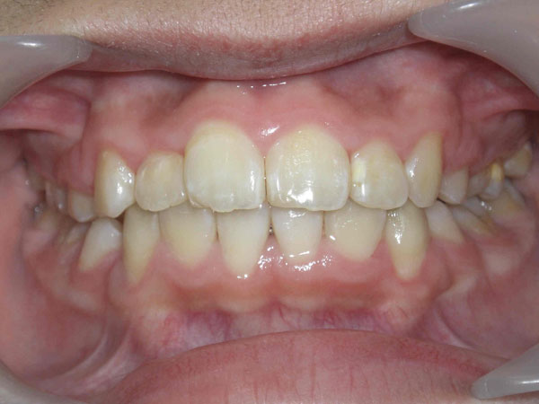
下の前歯が上の前歯より前に出ている噛み合わせが逆になっている状態を下顎前突(受け口)と言います。
横顔がしゃくれたような感じになっていることが多いです。
矯正治療だけで治る場合もありますが、外科手術が必要になることもあります。
横顔がしゃくれたような感じになっていることが多いです。
矯正治療だけで治る場合もありますが、外科手術が必要になることもあります。
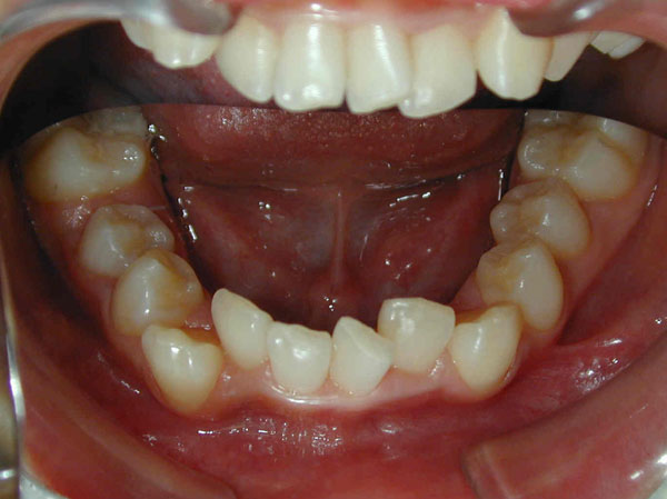
歯が重なり合って、でこぼこした歯並びの状態のことをそう生と言います。歯と顎の大きさの調和がとれないために起きる症状です。





















